浅谈(庚子瘟)冠状病毒白肺的形成原因
文/朱铁辉
白肺病属于中医“肺痈”范畴,肺痈又名肺疽,诸患易识,独肺中患毒难知,中医认为,他是由寒,热,痰,火,肺部发生痈疡,发热振寒,咳嗽,胸痛,气急,甚则咳喘不得平卧,吐出腥臭脓性粘痰,或咳吐脓血等,多因风热病邪痰粘阻郁肺部,久蕴结而成,或嗜酒或嗜食煎炸辛热厚味,燥热伤肺所致。

病情变化一般分为三段期:
表证期段:恶寒发热,出汗,咳嗽胸痛,脉浮数。
酿脓期段:咳逆胸满,胸痛,时时振寒,脉滑数。
溃脓期段:咳吐脓血腥臭。或续其它疾病。
中医中草药历来治疗肺痈都有临床丰富经验,历代医家民问创立许多中药方剂,中草药土方。
第一方:师传一锅汤,出自四川蛾眉金顶峰白空长老亲传,他是由二十八种中草药组成,分别按四柱,二十四宫,二十八宿,阴阳平衡,主要是清肺寒热痰浊毒,健脾胃,清肠道,排五脏之毒,止咳,化痰,肃条清除肺部垃圾,针对哮喘呼吸困难,胸痛有确切疗效,有病治疗,无病预防,处方组成由:岩梯草,鱼腥草,苍耳根,艾叶,虎杖,石菖蒲,肺根草,血叶清,紫苏,荊芥穗,肺克清,田边菊,银花藤等二十八种中草药。
用大锅放一百一十斤水,熬煎八十斤,四百个人的量,每人一次2两,一次性纸杯一杯,早晚各一次,一般轻症三至五天,重症五至七天。(这是我三年在一线的临床时间和地区:2019年至2020年,湖南岳阳市临湘市羊楼司龙窖山村→湖北宋河→黄冈→黄陂→武汉→汉口→江汉;浙江台州,萧山等→南京→西安→石家庄→上海→贵州→周口市→香港;2020至2021年至今,广州花都军区→上海白肺都服用了一锅汤收到良好的治愈效果。)
中医经方:
第一方:苇茎汤
《备急千金药方》卷十七,系唐代医家孙思邈所创。是治疗肺痈最佳方,中医治疗代表方。
(组成)芦根30克,薏苡仁12克,桃仁10克,冬瓜子12克煎汤,1日2次分服。
(主治)肺痈喘不得卧。咳有微热,甚则咳吐臭痰脓血,胸中隐隐作痛,口干咽燥而不渴饮,烦满,脉滑数,苔黄腻。
方中苇茎性味甘寒,入肺清热利水,除烦解渴,为治肺痈的要药。薏苡仁甘淡微寒,清热利湿,化痰排脓,冬瓜仁甘寒清热,去肺中痰浊脓血,桃仁甘苦而平,润肺滑肠止咳。遂瘀行滞。四药合用,共奏清肺化痰丶逐瘀排脓之效。脾肺热清丶痰热化丶瘀结袪,则肺痈自愈。本方简便,疗效显著。
肺痈,肺脓疡:活水芦根(鲜品)60克冬瓜子15克,栝楼仁12克鱼腥草15克生地12克西洋参2克,水煎代茶饮,一日二至3次。
第二方:肺脓疡合剜
出自《古今名方》中金如寿所传。金如寿善用白虎汤诊治“热厥",此方有效率达100%,治愈率达68%。
处方:半枝莲15克金银花15克鱼腥草15一30克,虎杖12克黄芩12克桔梗12克。
(主治)清热解毒,化瘀排脓,清肺透热,清养肺阴。具有退热快,排脓多,空洞闭合迅速的效果。主急性肺脓疡(肺痈)。(用量用法)如高热不退,加生石膏30克知母10克痰中带血,加茅根30克旱莲草15克,如果热退后,吐大量脓臭痰(排脓期)时,加桃仁9克生薏苡仁18克,以袪瘀丶化痰丶排脓,检查液面消失,脓时空全部显露时,加黄精丶白芨各15克,以助养阴补肺,促进脓腔闭合。
第三方:葶苈大枣泻肺汤
张仲景《金匮要略》一书中用于治疗“肺痈喘不得卧”的方剂,不仅限于治疗肺痈,肺部气管病变,中医辨证属于痰浊水湿邪热壅阻于肺,以致肺上人肃降者,都可选用临床随症情变化加减。效果显著。
(组方)葶苈(熬令黄色,捣丸,如弹子大)丶大枣12枚。
主治:肺痈,喘不得卧,肺痈,胸满胀,一身面目浮肿,鼻塞,清涕出,不闻香臭酸辛,咳逆上气,喘鸣迫塞,支饮胸满者。(不宜)如果脓成里虚禁用。方中葶苈子泻肺水,逐痰饮,平喘咳,饮邪使肺,肺痈实证宜用。
第四方:瓜蒌薤白半夏汤
张仲景《金匮要略丶胸痹心痛短气病脉证并治第九》,即“胸痹之病,喘息咳唾,胸背痛,短气…瓜蒌薤白白酒汤主之”。胸痹,不得卧,心痛彻背者,瓜蒌薤白半夏汤主之"。
组方:瓜蒌实12克,薤白丶半夏各9克白酒70毫升(非现代之白酒,为黄酒,或用醪糟代之亦可)水煎分三次温服(成人常用剂量5剂)(方剂主治)袪痰宽胸效显彰,三味再加酒同煎,宽胸散结又通阳。
中医诊脉辨证施治,一人一方,每个人的体质偏性是有所不同,好在中医,只要你的大方向没有错误,辨清寒热,而对于肺痈(白肺病)只要分清寒热,抓住主要原因,及时进行治疗,或许就能起到卧碗而愈效果。
白肺病,是被肺里痰沾堵住了出不来,只要袪痰的方子一般都是有效的。
最近新冠得了白肺的病人大多数都是有基础疾病或者老年人。都会出现气短的现象,改善微循环,活血化瘀,止咳化痰一成了一个必须的手段。例如:薏苡仁,桃仁和地龙这三味中药
薏苡仁:利水消肿丶渗湿丶健脾除痹丶清热排脓,临床上常用于肺痈,有清肺肠之热,排脓消痈之功效。
桃仁:活血袪瘀,润肠通便,止咳平喘。
地龙:清热熄风,平喘利尿,通络之功。
三味同用,大部分的呼吸短促,血氧浓度丶饱和度很底的症状就可以得到及时的缓解。
高热不退:金银花,蒲公英,连翘具有解汉人炎症改善高扎心作用,咳吐黄绿色浓浊痰,年轻体力较好的加黄芩丶鱼腥草丶红藤3,体虚年老者则用人参,西洋参。囗干严重加沙参,麦冬,玄参等,老人有肺气肿心衰,需大量用葶苈子30至60克咳血加桑叶30至60克,阿胶10克。
(庚子瘟)新冠病毒是一场大疫,是不同阶段的寒湿、湿热带来温邪,每个季节都有不同的表现形式,春有风邪,夏有热邪,秋有湿邪,冬有寒邪。年末这场新冠病毒进攻,主要是寒邪,很快接近风邪,病从脚起,很多人是着凉开始,主病位在肺,其次是脾、大肠,并拖累其他脏腑。
(庚子瘟)新冠起病急,发热多,发寒,身困酸痛难受。热像凸显,湿重如裹,咳喘交加,脾虚痰浊,身痛乏力,一并出现,交替进攻,轮番折腾,很快最强体质快速衰弱下来。
感染病毒病程约5至10天,多数一周内痊愈,病好了,不等各个脏器还没完全恢复,全身乏力,无精神,轻微动大汗淋漓。
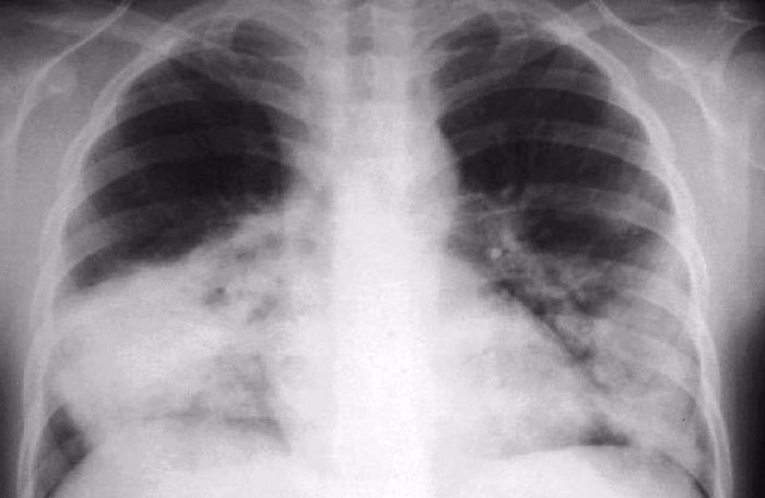
白肺:双肺叶或单侧呈“白化”现象,白色部分占据70%以上的面积,意味着肺部有炎症,有渗出物或积液,多见老年人,慢病人群,高烧数日不退人群等等。
咳喘:咽干猛咳,有黄痰丶浓痰或泡沬痰,说话无力,面色潮红,出汗多,喉咙经常有异物感。
胸闷:胸痛,隐隐作痛或有一团杂物堵住,有心悸,呼吸不畅,气促气短。
结语:禁忌药物不能配伍:瓜蒌不能与干姜丶乌头丶牛膝同服,半夏忌龟甲,干姜,乌头等,薤白不能配伍韭菜`牛肉同食,这些做为医者必须注意的。
诊脉要精细,开药要对症,以人而异一人一方。
明知西医治不好癌症却还是去治疗——认知比癌症更可怕
其实,癌症不是绝症,起码中医认为不是。西医认为是绝症,是因为西医根本就不知道癌症的成因,当然,就更不知道如何治疗癌症了。他们唯一的治疗方式,就是用各种手段来消除癌组织。西医对癌症发明了很多病名出来,比如:脑癌,血癌、舌癌、喉癌、食道癌、甲状腺癌、淋巴癌、肺癌、胰腺癌、牙癌、乳腺癌、胃癌、肝癌、皮肤癌···(1064)人阅读时间:2023-12-21
刘发祥——中医,有缘才能相逢!
中医,有缘才能相逢!文/刘发祥 西医治人得的病,中医治得病的人。外国人在用中医养生,中国人在用输液续命。日本人用华夏五千年中医赚着全球的钱,中国人拿国外两百年的西医在掩耳盗铃。民间健康长寿的耄耋老中医比比皆是,而满腹现代医学的高知却救不了自己或家人。“清肺排毒汤”拟方人葛又文曾也是个无证中···(1386)人阅读时间:2023-04-24
朱铁辉一一论野生中药材资源的保护与开发
(文/朱铁辉)野生道的中药材资源不仅维系着中医药产业的生存与发展,而且对我国的生态环境保护有着深远的影响,绿水青山就是金山银山。随着我国社会经济的发展以及国际交流贸易的迅猛增加,我国野生中药材资源被国外利益商家高价收购,所以很多珍稀品种灭绝性乱采滥挖,安化县品种水溪小沟的石菖蒲由于高价遭到灭绝性采挖···(1191)人阅读时间:2023-02-20
邓理斌(康尔)——肾是先天之本,是人体发动机
肾是先天之本,是人体发动机文/邓理斌(康尔)中医说的心肝脾肺肾五脏与西医解剖意义上的脏器不同,中医说的每一脏器所涉及的范围不单指该脏器本身,更多时候还包括它所能直接影响、制约的系统。肾脏位于腰部,生理功能是藏精,主水主骨,主生殖,纳气生髄,通于头脑,其华在发,开窍于耳及二阴,与膀胱相表里。我们说某个···(1192)人阅读时间:2023-02-16
朱铁辉——自述野生中药材种苗培植心路历程
(文/朱铁辉)从小耳濡目染爷爷挖草药治病救人,带我上山采草药,慢慢热爱上了中草药。爷爷曾经是当地有名的土郎中,因草药物美价廉,所以经常救治很多病人。甚至有些病人大医院宣布准备后事,都让爷爷把他们从阎王爷那里抢救回来。随着年龄增长更加挚爱中草药,但在采药中发现很多草药与《本草纲目》图片上叶一样根不一样···(1210)人阅读时间:2023-02-16